Deviated septum is among the most typical, however typically ignored causes of persistent nasal obstruction. In India, consultants level out that just about everybody has a slight bend within the nasal septum, however not all require remedy. The issue begins when this deviation considerably narrows the airway, disrupts respiratory, and results in a sequence of associated well being points.
Prevalence and causes
The prevalence of deviant nasal septum (DNS) in India varies extensively from examine to review, with reported percentages starting from about 25% to 85% or extra in some populations. Research in areas just like the Northeast have discovered excessive charges, with one examine displaying that 85.5% of 966 CBCT scans reveal some type of DNS. The prevalence can also be age-group dependent, with the incidence of kids growing with age, and a few research are extra frequent in males and different females, with figures similar to 70% of males and 30% of females reported.
The nasal septum is a skinny wall that divides the left and proper nostrils. Based on Ent Surgeons, 80-90% of individuals have some type of deviation. “Septum deviations are quite common, however the quantity of deviation determines the issue,” says N. Ahirasamy, head and neck surgeon at Prashant Hospital in Chennai.
The causes range. Some are current from start to start as a result of gentle trauma throughout start. Others typically come up from unnoticed childhood accidents, sports activities accidents, or highway visitors collisions. “The household does not bear in mind the small knock, however they go away the bend,” says CRK Baraji, a hospital in Chennai and vs. hospital. With age, the cartilage stiffens, making the deviation extra pronounced and symptomatic.
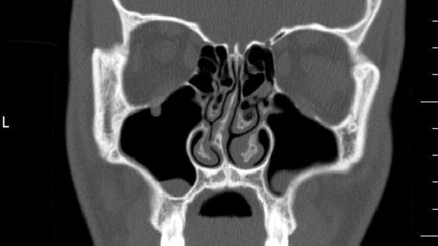
Signs and analysis
Most individuals uncover the issue after they really feel that one aspect of their nostril is blocked. “The principle factor that sufferers say is, ‘One aspect of my nostril is all the time blocked,'” explains Dr. Baraji. Along with blockage, sufferers could expertise facial ache, sinus infections, loud night breathing, nosebleeds, or complications after an extended day.
For analysis, medical testing stays commonplace. “The take a look at alone will diagnose the bend and you may see extra with an endoscopic or CT scan,” stated Shruthi Sreekumar of Affiliate Advisor at Rela Hospital in Chennai. In some circumstances, CT scans of the sinuses may also help to establish associated ailments.
Remedy boundaries
Minor deviations could cause virtually discomfort, whereas extreme deviations have an effect on high quality of life and long-term well being. “The issue arises when the diploma of deviation is marked, and one of many nostrils is considerably narrowed down,” says Ammaiyappan Palaniswamy C., senior advisor at Chennai, MGM MALAR, MGM MALAR, MGM MALAR and MGM MALAR. The an infection recurs as blocked sinuses don’t drain, however persistent mouth respiratory can result in dryness, sore throats and unsleashing sleep.
Sleep apnea is usually most related to weight problems, however septal deviations can worsen respiratory and loud night breathing in sleep problems. “Leaving it untreated can contribute to obstructive sleep apnea, violation of CPAP remedy, and synosal polyp layers,” provides Dr. Sreekumar.
The one correction possibility is surgical procedure often known as seborrhoea. Waste medication and sprays briefly relieve signs, however they can not straighten the partitions. Consultants advocate surgical procedure if signs persist regardless of medical administration, or if problems similar to bleeding or persistent sinusitis happen.
Historically, as soon as facial progress is full, septum plasms have been reserved for adults. “Unnecessary of nowadays, we have additionally manipulated younger sufferers who’ve few nasal respiratory, even seven or eight years,” says Dr. Ahirasamy. Nevertheless, these circumstances are exceptions and require cautious counseling.
Entry in India may be very totally different. On the Metropolitan Heart, endoscopic septum is taken into account routine and protected. In small cities, ENT companies are usually not very obtainable. “The challenges are recognition, worry of surgical procedure, and prices,” explains Ok. Priya, senior advisor at SRM World Hospital. Although it’s not costly by surgical requirements, monetary constraints and lack of insurance coverage consciousness stay boundaries.
Look for higher consciousness
Consultants emphasize the necessity for individuals to entry acceptable info. A typical delusion is that surgical procedure adjustments the form of the nostril from the surface. Others consider that each deviation requires surgical procedure, however that’s not true. “Not all people with septum deviations are symptomatic, and never all require surgical remedy,” says Dr. Priya.
One other false impression is that it is just surgical procedure to resolve all nostril complaints. “There are allergy symptoms generally of deviations as properly. Sufferers must know that surgical procedure will not be the one resolution. They could want postoperative sprays and drugs,” explains Dr. Sreekumar.
ENT consultants emphasize that consciousness is essential. As Priyanka Vignesh, a senior advisor at SRM World Hospitals, factors out, “Many individuals consider that nasal congestion is primarily attributable to allergy symptoms or colds, and so they drip defecation brokers for years with out seeing a health care provider.
Specialists additionally warn {that a} unilateral nostril block that’s typically unaware or regulated will be the earliest signal of a deviant septum that requires evaluation.
Dr. Vignesh provides, “For these residing with persistent nasal obstruction, do not ignore it or be taught to stay with it.” Consultations with consultants can deliver readability, and in lots of circumstances, well timed interventions can forestall years of discomfort and defend long-term well being.
Revealed – September 10, 2025, 05:00 pm
